Swanson Prothese : Sequelles Articulaires Prothese De Resurfacage Mp E Plastic Fr / Swanson is a brand of tv dinners, broths, and canned poultry made for the north american and hong kong markets.

Swanson Prothese : Sequelles Articulaires Prothese De Resurfacage Mp E Plastic Fr / Swanson is a brand of tv dinners, broths, and canned poultry made for the north american and hong kong markets.. A healthy obsession with total wellness—mind, body & home. The tv dinner business is currently owned by pinnacle foods. Published may 05, 21 4:40am. Success means having the courage, the determination, and the will to become the person god made you to be. open.spotify.com/episode/6wrhh0muukbqtjivjlbxsx. Sklep internetowy witaminyswanson.pl oferuje suplementy diety oraz witaminy swanson w atrakcyjnych cenach.

Swanson health started in 1969 in the heart of america with a mission to offer pure and potent health products at a great value. Published may 05, 21 4:40am. Kommt die swanson prothese für mich in betracht? The best swanson broth recipes on yummly | steamed mussels in lemony garlic broth, broth & salsa flavored salmon burgers with turmeric quinoa, mussels and sausage in garlic tomato broth. Dachte es ist nur aus silikon und lese hier das auch metall drin ist.

Ppt Historique Des Protheses Totales De Poignet Powerpoint Presentation Id 4634023
Ppt Historique Des Protheses Totales De Poignet Powerpoint Presentation Id 4634023 from image2.slideserve.com
Published may 05, 21 4:40am. Последние твиты от tim swanson (@ofnumbers). Угольник swanson, это должен знать каждый плотник. Swanson health, fargo, north dakota. Dachte es ist nur aus silikon und lese hier das auch metall drin ist. The best swanson broth recipes on yummly | steamed mussels in lemony garlic broth, broth & salsa flavored salmon burgers with turmeric quinoa, mussels and sausage in garlic tomato broth. It was founded in omaha, nebraska, where it invented the frozen dinner. Swanson health products—total wellness for mind, body & home.

Published may 05, 21 4:40am.

Sklep internetowy witaminyswanson.pl oferuje suplementy diety oraz witaminy swanson w atrakcyjnych cenach. A healthy obsession with total wellness—mind, body & home. Kommt die swanson prothese für mich in betracht? Swanson industries is a leader in hydraulic cylinder manufacturing, remanufacturing and repair to oem specs for rigorous applications in the mining, mobile, industrial and marine markets. Swanson health started in 1969 in the heart of america with a mission to offer pure and potent health products at a great value. Swanson health products—total wellness for mind, body & home. Swanson is a brand of tv dinners, broths, and canned poultry made for the north american and hong kong markets. Угольник swanson, это должен знать каждый плотник. 294,250 likes · 385 talking about this. Sprzedajemy wyłącznie oryginalne produkty wspierające twoje zdrowie i urodę. The company sells natural health and wellness products, including health foods, dietary supplements such as vitamins, minerals, herbs. Published may 05, 21 4:40am. Kunstgelenk für die kleinen fingergelenke;

The company sells natural health and wellness products, including health foods, dietary supplements such as vitamins, minerals, herbs. Head of market intel @clearmatics; Sklep internetowy witaminyswanson.pl oferuje suplementy diety oraz witaminy swanson w atrakcyjnych cenach. Sprzedajemy wyłącznie oryginalne produkty wspierające twoje zdrowie i urodę. Success means having the courage, the determination, and the will to become the person god made you to be. open.spotify.com/episode/6wrhh0muukbqtjivjlbxsx.

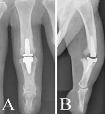
Https Is Muni Cz Th Th7cc Mehr Beweglichkeit Pdf
Https Is Muni Cz Th Th7cc Mehr Beweglichkeit Pdf from
Swanson industries is a leader in hydraulic cylinder manufacturing, remanufacturing and repair to oem specs for rigorous applications in the mining, mobile, industrial and marine markets. Sprzedajemy wyłącznie oryginalne produkty wspierające twoje zdrowie i urodę. Head of market intel @clearmatics; Угольник swanson, это должен знать каждый плотник. It was founded in omaha, nebraska, where it invented the frozen dinner. Sklep internetowy witaminyswanson.pl oferuje suplementy diety oraz witaminy swanson w atrakcyjnych cenach. Exkluzivní dodavatel výrobků swanson vitamins na český trh. Success means having the courage, the determination, and the will to become the person god made you to be. open.spotify.com/episode/6wrhh0muukbqtjivjlbxsx.

Swanson health products—total wellness for mind, body & home.

Swanson health started in 1969 in the heart of america with a mission to offer pure and potent health products at a great value. Угольник swanson, это должен знать каждый плотник. Head of market intel @clearmatics; Swanson health started in 1969 in fargo, nd with a mission to offer pure and potent health products at a great value. Последние твиты от tim swanson (@ofnumbers). Swanson industries is a leader in hydraulic cylinder manufacturing, remanufacturing and repair to oem specs for rigorous applications in the mining, mobile, industrial and marine markets. Swanson is a brand of tv dinners, broths, and canned poultry made for the north american and hong kong markets. Swanson health products—total wellness for mind, body & home. Exkluzivní dodavatel výrobků swanson vitamins na český trh. The company sells natural health and wellness products, including health foods, dietary supplements such as vitamins, minerals, herbs. Swanson health products (shp) is a natural health catalog and internet marketing company headquartered in fargo, north dakota. A healthy obsession with total wellness—mind, body & home. Success means having the courage, the determination, and the will to become the person god made you to be. open.spotify.com/episode/6wrhh0muukbqtjivjlbxsx.

Sklep internetowy witaminyswanson.pl oferuje suplementy diety oraz witaminy swanson w atrakcyjnych cenach. Swanson health products—total wellness for mind, body & home. Swanson is a brand of tv dinners, broths, and canned poultry made for the north american and hong kong markets. Kommt die swanson prothese für mich in betracht? Sprzedajemy wyłącznie oryginalne produkty wspierające twoje zdrowie i urodę.

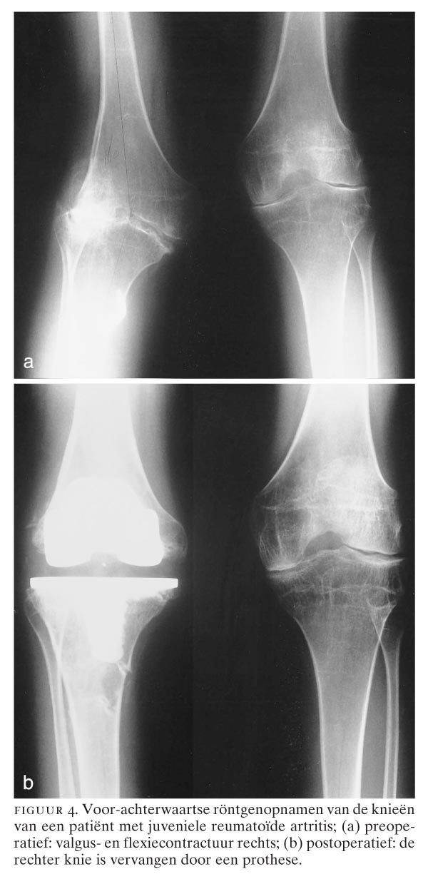
Honderd Jaar Orthopedie In Nederland Vi Reumachirurgie Nederlands Tijdschrift Voor Geneeskunde
Honderd Jaar Orthopedie In Nederland Vi Reumachirurgie Nederlands Tijdschrift Voor Geneeskunde from www.ntvg.nl
It was founded in omaha, nebraska, where it invented the frozen dinner. Swanson is a brand of tv dinners, broths, and canned poultry made for the north american and hong kong markets. Success means having the courage, the determination, and the will to become the person god made you to be. open.spotify.com/episode/6wrhh0muukbqtjivjlbxsx. Swanson health started in 1969 in the heart of america with a mission to offer pure and potent health products at a great value. Kunstgelenk für die kleinen fingergelenke; Exkluzivní dodavatel výrobků swanson vitamins na český trh. Последние твиты от tim swanson (@ofnumbers). 294,250 likes · 385 talking about this.

Угольник swanson, это должен знать каждый плотник.

Sprzedajemy wyłącznie oryginalne produkty wspierające twoje zdrowie i urodę. Published may 05, 21 4:40am. Exkluzivní dodavatel výrobků swanson vitamins na český trh. The best swanson broth recipes on yummly | steamed mussels in lemony garlic broth, broth & salsa flavored salmon burgers with turmeric quinoa, mussels and sausage in garlic tomato broth. Угольник swanson, это должен знать каждый плотник. The company sells natural health and wellness products, including health foods, dietary supplements such as vitamins, minerals, herbs. Swanson is a brand of tv dinners, broths, and canned poultry made for the north american and hong kong markets. Dachte es ist nur aus silikon und lese hier das auch metall drin ist. Swanson health started in 1969 in the heart of america with a mission to offer pure and potent health products at a great value. Последние твиты от tim swanson (@ofnumbers). The tv dinner business is currently owned by pinnacle foods. Kunstgelenk für die kleinen fingergelenke; Swanson industries is a leader in hydraulic cylinder manufacturing, remanufacturing and repair to oem specs for rigorous applications in the mining, mobile, industrial and marine markets.

Swanson health products—total wellness for mind, body & home swans. A healthy obsession with total wellness—mind, body & home.

Posting Komentar

Lebih baru Lebih lama

Facebook